審美歯科症例
50歳代女性 -セラミックスクラウンで治療 治療期間 約3年-



70歳代女性 -セラミックスクラウン 治療期間 約2年-



50歳代女性 -オールセラミックスクラウンで治療 治療期間 約1年-



60歳代女性 -セラミックスクラウンで治療 治療期間 約2年-



60歳代女性 -オールセラミックスクラウンで治療 治療期間 約1年-



ホワイトニング症例
30歳代男性 -失活歯(神経の無い歯)のホワイトニング 治療期間 約2か月-



20歳代女性 - 失活歯(神経の無い歯)のホワイトニング 治療期間 約2か月-



40歳代女性 -生活歯(神経のある歯)のホワイトニング 治療期間 約3か月-



60歳代女性 -生活歯(神経のある歯)のホワイトニング 治療期間 約3か月-



60歳代女性 -ホワイトニング後にオールセラミックス治療 治療期間 約6か月-



歯周病症例
20歳男性 -治療期間 約2か月-



60歳男性 -治療期間 約6か月-



50歳男性 -治療期間 約1年-



入れ歯症例
70歳代男性 -白いばねを使用した義歯(入れ歯) 治療期間 約1年-



60歳代女性 - 磁石を使用した義歯(入れ歯) 治療期間 約1年-






▼ 50歳代女性 -バネを使わない特殊な義歯(入れ歯) 治療期間 約1年6か月-






矯正症例
50歳代女性 -前歯の歯ならびを治したいため矯正治療 治療期間 約1年-



30歳代女性 -歯の隙間をなくしたいため矯正治療 治療期間 約6か月-



20歳代女性 -歯の隙間をなくしたいため矯正治療 治療期間 約6か月-



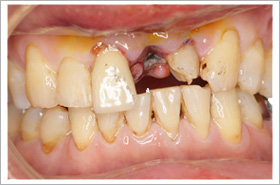
インプラント症例
▼ 30歳代女性 - インプラント 治療期間 約1年-



▼ 60歳代男性 - インプラント 治療期間 約1年-




